男子喝水误吞牙签致肠穿孔 小牙签险酿大祸!陈先生在喝水时误吞了一根牙签,起初并未感到不适,因此没有及时就医。但不久后,他开始感到上腹部持续隐痛。忍耐了两天后,疼痛没有缓解,陈先生前往钟落潭镇卫生院急诊科求助。

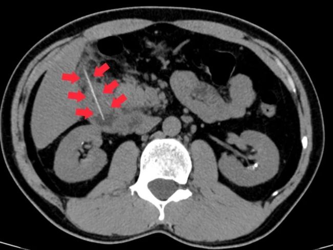
急诊科医生立即为他安排了腹部CT检查,结果显示一根牙签滞留在十二指肠降部,并且尖端已经刺穿肠管壁,引发了局限性腹膜炎。情况危急,如果任由发展可能导致感染扩散甚至休克等严重并发症,危及生命。陈先生随即被收治入院。

外科团队迅速完成术前检查,科主任麦伟锦组织多学科会诊,决定采取“消化内镜优先、手术兜底”的方案。医师李伟杰向陈先生详细解释了治疗思路,消除了他的疑虑。手术中,医师冯锦杭操作电子胃肠镜,清晰定位异物并巧妙调整角度,最终成功将牙签完整取出,并对穿孔处进行了钛夹封闭。整个过程仅用时20分钟,创伤小、恢复快。

陈先生康复出院时感叹,幸亏医生处置及时,否则后果不堪设想。麦伟锦提醒,误吞牙签、鱼刺等尖锐异物后,切忌采用吞饭团、喝醋等方法,这些行为极易导致异物扎得更深、损伤加重,甚至引发大出血等致命危险。应立即停止进食,尽快前往正规医院就诊。
误吞异物后的正确处理与日常预防非常重要。一旦误吞,请立即到正规医院就医,及时取出异物。若未出现呛咳、呼吸困难、口唇青紫等窒息缺氧表现,不必过分紧张,保持冷静,第一时间前往医院由专业医生判断处理。就餐时应细嚼慢咽,尤其食用多刺、多骨或带核食物;剔牙后及时丢弃牙签,勿含咬玩耍;家长需教育儿童勿将小玩具、硬币等放入口中;老年人应注意假牙的佩戴和养护。




